
in this article
authors
Every brain tells a story, and The Brain Map Study is listening – cell by cell, scan by scan.
By combining advanced brain imaging with cutting-edge molecular analysis, researchers at the Allen Institute and the University of Washington (UW) School of Medicine are building a detailed map of the human brain that connects how it’s built to how it functions. This work, powered by study participants who generously volunteer to donate their brains after they die, is laying the foundation for improved treatments for conditions like Alzheimer’s, brain injury, depression and more.
Scientists still don’t fully understand how the human brain works. To change that, we need people willing to take part in this study. Their participation could lead to better treatments and less suffering
C. Dirk Keene, M.D., Ph.D., Professor and Nancy and Buster Alvord endowed chair in Neuropathology at UW Medicine.
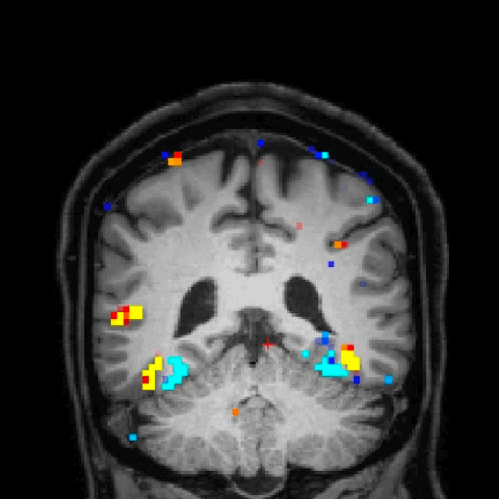
With MRI brain scans from living participants combined with microscopic analysis of brain tissue after death, researchers are uncovering how specific brain structures and cell types relate to memory, language, emotion, and disease.
Participating in this study requires very specific criteria, including a life-limiting illness (not related to brain health), located within 3 hours of Seattle, and a willingness to donate one’s brain. Because of these three requirements, finding eligible participants has not been easy, and the research program is in urgent need of qualified and interested participants.
“Scientists still don’t fully understand how the human brain works. To change that, we need people willing to take part in this study,” said C. Dirk Keene, M.D., Ph.D., Professor and Nancy and Buster Alvord endowed chair in Neuropathology at UW Medicine. “Their participation could lead to better treatments and less suffering for future generations.”
Why does this matter? From brain maps to breakthroughs
Understanding the brain at this level could unlock faster, more targeted treatments for neurological conditions. It could help us answer questions like: Why do some people recover from brain injury while others don’t? What makes one brain more resilient than another?
“The Brain Map Study is helping us build a cellular GPS for the human brain – one that connects structure to function, and ultimately, to disease. It’s a foundational step toward precision medicine in neuroscience,” explained Hongkui Zeng, Ph.D., Executive Vice President, Director of the Allen Institute for Brain Science.

Photo by Erik Dinnel / Allen Institute
Help shape the future of brain science
This research is made possible by people who choose to participate. If you or someone you know meets the study criteria, your participation could directly contribute to discoveries that improve treatment for brain conditions. The Brain Map Study is actively enrolling participants now.
You may qualify to participate in this research if you:
- Are 18 or older
- Have a life-limiting illness
- Live within 3 hours of Seattle
- Are fluent in English
- Are interested in brain donation
The study includes:
A non-invasive MRI scan to capture how your brain works while you watch and listen to videos, and an opportunity to donate your brain after death.

Understanding the brain is one of science’s greatest challenges and greatest opportunities. “By linking MRI scans with cellular-level data, this study gives us an unprecedented window into the living human brain,” said Ed Lein, Ph.D., Senior Investigator at the Allen Institute. “That connection is key to understanding – and eventually treating – brain disease.”
This work wouldn’t be possible without the generosity of individuals who choose to contribute. Their legacy is a gift to science and to all of us. Together, we’re building a resource that will empower researchers, inform medicine, and bring hope to families affected by neurological diseases and disorders.
Citations
about the allen institute
The Allen Institute is an independent, 501(c)(3) nonprofit research organization founded by philanthropist and visionary, the late Paul G. Allen. The Allen Institute is dedicated to answering some of the biggest questions in bioscience and accelerating research worldwide. The Institute is a recognized leader in large-scale research with a commitment to an open science model. For more information, visit alleninstitute.org.


